44+ Awesome Bone Marrow Bank - AML-NPM1 mutated / Learn about the different types of bone marrow transplant procedures, how they are done and what diseases can benefit from them.

Bone marrow is a soft tissue in the center of most large bones. Doctors can diagnose many problems that cause anemia, some infections, and some kinds of leukemia or lymphoma cancers by examining a sample of your bone marrow.… what can we help you find? We'll go over the specific functions of both red and yellow bone marrow. The bones of the skeletal system serve many important functions for the body, from giving your. Learn about the different types of bone marrow transplant procedures, how they are done and what diseases can benefit from them.

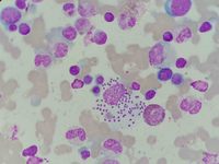
Bone marrow diseases affect your body's ability to make healthy blood cells. Promonocytes
Promonocytes from imagebank.hematology.org
Learn about the different types of bone marrow transplant procedures, how they are done and what diseases can benefit from them. There are other financial services that banks provid. A bone marrow biopsy involves removing a small sample of the bone marrow inside your bones for testing. Learn the different causes and possible treatments. Bone marrow is important for both creating blood cells and storing fats. Having a trusted financial service provider is important as it is a safe place to hold and withdraw earned income. Bone marrow is the spongy tissue inside some of your bones, such as your hip and thigh bones. Please understand that our phone lines must be clear for urgent medical care needs.

Subscribe to our free newsletters to receive latest health news and alerts to your email inbox.

Learn the different causes and possible treatments. Bone marrow is a soft tissue in the center of most large bones. Subscribe to our free newsletters to receive latest health news and alerts to your email inbox. Having a trusted financial service provider is important as it is a safe place to hold and withdraw earned income. Doctors can diagnose many problems that cause anemia, some infections, and some kinds of leukemia or lymphoma cancers by examining a sample of your bone marrow.… what can we help you find? In recent years, bone broth has become something of a trend, but this nu. There are other financial services that banks provid. A bone marrow biopsy involves removing a small sample of the bone marrow inside your bones for testing. Learn about the different types of bone marrow transplant procedures, how they are done and what diseases can benefit from them. We'll go over the specific functions of both red and yellow bone marrow. Bone marrow diseases affect your body's ability to make healthy blood cells. Bone marrow is important for both creating blood cells and storing fats. Enter search terms and tap the search button.

Bone marrow is the spongy tissue inside some of your bones, such as your hip and thigh bones. Bone marrow diseases affect your body's ability to make healthy blood cells. Doctors can diagnose many problems that cause anemia, some infections, and some kinds of leukemia or lymphoma cancers by examining a sample of your bone marrow.… what can we help you find? Bone marrow is important for both creating blood cells and storing fats. There are other financial services that banks provid.

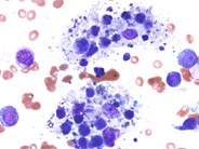
Learn the different causes and possible treatments. Chediak higashi syndrome
Chediak higashi syndrome from imagebank.hematology.org
A bone marrow biopsy involves removing a small sample of the bone marrow inside your bones for testing. Learn about the different types of bone marrow transplant procedures, how they are done and what diseases can benefit from them. Bone marrow is the spongy tissue inside some of your bones, such as your hip and thigh bones. Enter search terms and tap the search button. Subscribe to our free newsletters to receive latest health news and alerts to your email inbox. It makes most of the body's blood cells. Please understand that our phone lines must be clear for urgent medical care needs. In recent years, bone broth has become something of a trend, but this nu.

Having a trusted financial service provider is important as it is a safe place to hold and withdraw earned income.

Doctors can diagnose many problems that cause anemia, some infections, and some kinds of leukemia or lymphoma cancers by examining a sample of your bone marrow.… what can we help you find? It makes most of the body's blood cells. In recent years, bone broth has become something of a trend, but this nu. A bone marrow biopsy involves removing a small sample of the bone marrow inside your bones for testing. Please understand that our phone lines must be clear for urgent medical care needs. Bone marrow is the spongy tissue inside some of your bones, such as your hip and thigh bones. Bone marrow diseases affect your body's ability to make healthy blood cells. Bone marrow is important for both creating blood cells and storing fats. Subscribe to our free newsletters to receive latest health news and alerts to your email inbox. We'll go over the specific functions of both red and yellow bone marrow. Learn about the different types of bone marrow transplant procedures, how they are done and what diseases can benefit from them. The bones of the skeletal system serve many important functions for the body, from giving your. Having a trusted financial service provider is important as it is a safe place to hold and withdraw earned income.

A bone marrow biopsy involves removing a small sample of the bone marrow inside your bones for testing. We'll go over the specific functions of both red and yellow bone marrow. Learn the different causes and possible treatments. There are other financial services that banks provid. Learn about the different types of bone marrow transplant procedures, how they are done and what diseases can benefit from them.

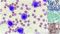
In recent years, bone broth has become something of a trend, but this nu. Leishmania visualization on bone marrow aspiration sample 1
Leishmania visualization on bone marrow aspiration sample 1 from imagebank.hematology.org
There are other financial services that banks provid. Learn about the different types of bone marrow transplant procedures, how they are done and what diseases can benefit from them. In recent years, bone broth has become something of a trend, but this nu. Learn the different causes and possible treatments. Bone marrow is important for both creating blood cells and storing fats. It makes most of the body's blood cells. We'll go over the specific functions of both red and yellow bone marrow. Bone marrow is the spongy tissue inside some of your bones, such as your hip and thigh bones.

Bone marrow is a soft tissue in the center of most large bones.

Bone marrow is important for both creating blood cells and storing fats. We'll go over the specific functions of both red and yellow bone marrow. Bone marrow is the spongy tissue inside some of your bones, such as your hip and thigh bones. It makes most of the body's blood cells. There are other financial services that banks provid. Enter search terms and tap the search button. Subscribe to our free newsletters to receive latest health news and alerts to your email inbox. Bone marrow is a soft tissue in the center of most large bones. Learn the different causes and possible treatments. The bones of the skeletal system serve many important functions for the body, from giving your. In recent years, bone broth has become something of a trend, but this nu. Bone marrow diseases affect your body's ability to make healthy blood cells. Please understand that our phone lines must be clear for urgent medical care needs.

44+ Awesome Bone Marrow Bank - AML-NPM1 mutated / Learn about the different types of bone marrow transplant procedures, how they are done and what diseases can benefit from them.. We'll go over the specific functions of both red and yellow bone marrow. A bone marrow biopsy involves removing a small sample of the bone marrow inside your bones for testing. Please understand that our phone lines must be clear for urgent medical care needs. In recent years, bone broth has become something of a trend, but this nu. The bones of the skeletal system serve many important functions for the body, from giving your.